50th and France Dental Care
A Great Dentist

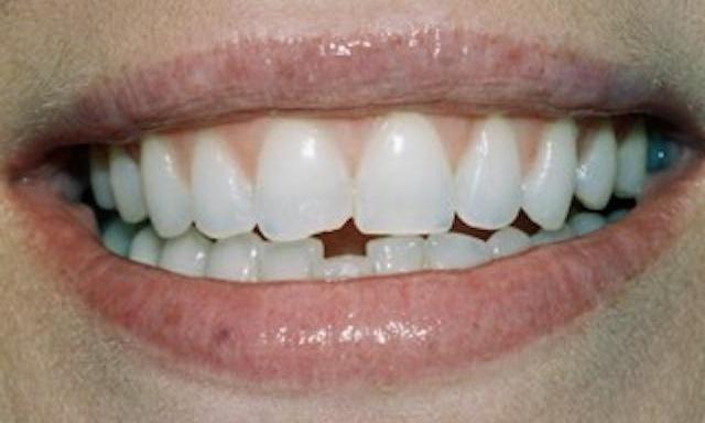
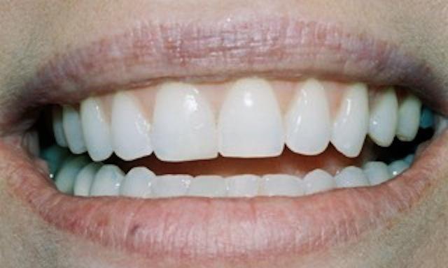
Smile Makeover with Composite Bonding

A chipped front upper tooth and chipped lower teeth are restored with white fillings. (Composite Bonding)

Related Services:

Cosmetic Dentistry
Still need an appointment?
If you have difficulty using our website, please email us or call us at (952) 922-5561