50th and France Dental Care
A Great Dentist

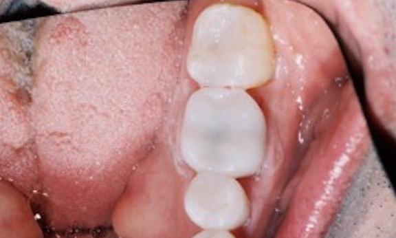
Failing Tooth Fillings Repaired with CEREC Crown and Fillings

This dental patient arrived at 50th and France Dental Care with a few failing silver fillings. The patient's silver fillings and gold dental crowns in Edina, MN were replaced with white fillings and a new CEREC dental crown. If you think your smile could benefit from dental crowns white fillings, contact 50th and France Dental care today!

Getting an appointment is fast and easy!
If you have difficulty using our website, please email us or call us at (952) 922-5561